В последний период внутриутробного развития отмечается скачок в развитии стенки магистральных сосудов мозга, а именно ее волокнистого каркаса и гладкомышечных элементов. Такой же процесс, но в меньшей степени, происходит в стенке внутримозговых сосудов.
Таким образом, заключительный период внутриутробного развития является важным этапом подготовки плода к внеутробному существованию в среде, значительно менее константной, требующей способности к быстрой адаптации в интересах выживания.
Кроме того, он способствует тому, что зрелый плод переносит родовой стресс и соответствующие нагрузки с меньшими потерями, чем плод, родившийся преждевременно.
У доношенных новорожденных можно наблюдать дальнейшее разрежение сети артериальных сосудов, происходящее за счет размыкания части мелких артериальных петель. Соответственно возрастает число артерий Г-образной формы, которые погружаются в мозг.
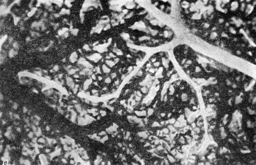
Головной мозг новорожденного



Головной мозг новорожденного ребенка и новорожденной крысы:
а — первичная капиллярная сеть головного мозга новорожденного ребенка. Пленочный препарат. Окраска по Маллори. Х10Х7;
б — общий вид сосудистой системы поверхности больших полушарий головного мозга новорожденной крысы. Артерии-белые, вены черные. Инъекционный препарат. Микропланар 100. Х10.5;
в — верхне-геменная область мозга новорожденной крысы. ВМВ — ветвь 1-го порядка верхней мозговой вены. Инъекционный препарат. Х105.
Первичная капиллярная сеть сохраняется, но она начинает терять объемность. Теперь ее петли располагаются в основном в одной плоскости, прилегая к поверхности мозга. Артериальные и венозные ветви практически не охватываются петлями этой сети; отделяются от первичной капиллярной сети и стволики, соединяющие между собой большинство смежных ветвей венозного дерева.
В этот период еще сохраняются различия в структуре между разными отделами полушарий головного мозга, отмеченные у плодов последнего месяца внутриутробного развития.
В целом плотность первичной капиллярной сети у доношенного новорожденного ребенка по сравнению с таковой у плода несколько падает; значительно реже, чем у плодов, наблюдается процесс выделения из первичной капиллярной сети артериальных стволиков.
По-видимому, здесь речь идет об общебиологической закономерности: так, у кроликов и крыс к моменту рождения? наблюдалось временное, но значительное уменьшение темпа размножения мозговых капилляров и уменьшение темпа прироста числа радиальных артерий.
«Гипоксия плода и новорожденного»,
М.Я.Студиникин