Характерно разрастание соединительной ткани и обилие коллагеновых волокон. В то же время эластические волокна, особенно вокруг или вблизи входа в альвеолы были немногочисленны; среди них выделялись извитые и фрагментированные волокна. Клетки альвеолярного эпителия отличались уменьшенным содержанием гликогена по сравнению с контролем.
Со стороны сосудистой системы наблюдались картины венозного застоя, преимущественно в крупных венах, сокращение просвета артериол, расширение или неравномерность просвета капилляров, нередко вследствие набухания эндотелиальных клеток.
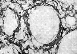
Соединительнотканный каркас легочной ткани новорожденных крыс

Соединительнотканный каркас легочной ткани новорожденных крыс:
а — контроль;
б — асфиксия на 20-й день внутриутробного развития. Импрегнация по методу Гомори. Х40Х7.
Эластические волокна в легочной ткани новорожденных крыс

Эластические волокна в легочной ткани новорожденных крыс:
а — контроль;
б — асфиксия на 20-й день внутриутробного развития. Видны утолщенные извитые эластические волокна интерстициальной ткани и короткие тонкие волоконца в стенке альвеол. Окраска орсеином. Х40Х7.
В большинстве случаев в легочной ткани в целом или в отдельных долях были видны кровоизлияния — от мелких диапедезных до более обширных геморрагии в междольковой или перибронхиальной соединительной ткани, в полости альвеол и альвеолярных ходов.
Таким образом, следствием острой асфиксии, перенесенной на 20-й день внутриутробного развития, является отечно-геморрагический комплекс изменений с развитием частичного или полного ателектаза.
Признаки задержки развития выражены слабее, чем при перенесенной асфиксии, на 17 — 18-й день внутриутробного развития. Они относились преимущественно к недоразвитию эластических структур. Наиболее отчетливо эти изменения выступают у новорожденных животных.
Неоднородности структурных изменений в легочной ткани под влиянием острой гипоксии в разные сроки беременности соответствует разный характер изменений фосфолипидных компонентов легочного сурфактанта.
Поскольку между двумя контрольными группами — плодами от оперированных самок, не подвергавшимися действию гипоксии, и плодами от интактных крыс, — никаких различий обнаружено не было, результаты анализа фосфолипидов у этих животных рассматриваются вместе.
«Гипоксия плода и новорожденного»,
М.Я.Студиникин