Существует мнение, что изменения в хориоидном сплетении и эпендиме часты: по П. П. Ерофееву — в 73,68 %, по Такахаши — до 98 %. При исследовании нашего материала поражение сосудистого сплетения и эпендимы наблюдалось более чем в 60% исследованных случаев. Хориоидиты и эпендиматиты возникают как в острой, так и в хронической стадии.
В сосудистом сплетении обнаруживаются различные стадии изменения — от умеренных инфильтратов до значительных пролиферативно-продуктивных изменений с наличием типичных бугорков: ворсинки изменены, набухшие и инфильтрированные.
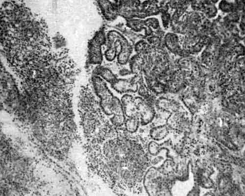
Сосудистое сплетение

Сосудистое сплетение: набухание и инфильтрация эпителия ворсинок. Воспалительные изменения в сосудистом сплетении. Сосуды гиперемированы. Видны псаммоматозные тельца.
Множественные туберкулы в сосудистом сплетении

Набухание и инфильтрация эпителия ворсинок сосудистого сплетения

Очаги размягчения и кровоизлияния
в прилегающих стенках желудочка.
В хронических случаях с более длительным течением наряду с воспалительными изменениями обнаруживаются гигантские туберкулы. В прилегающих стенках III и боковых желудочков могут быть обнаружены типичные для туберкулезного менингита некротические очаги с размягчениями и кровоизлияниями.
Гранулярный эпендиматит боковых желудочков

Эпендиматит III желудочка

Воспалительные изменения субэпендимарных отделов.
Картина вентрикулита

Значительные изменения в эпендиме
и субэпендимарных отделах III желудочка.
Эпендиматит IV желудочка

Образование бугорков над эпендимой
и в субэпендимарных отделах.
При эпендиматите боковых, III и IV желудочков можно обнаружить либо обычный экссудат с типичным клеточным составом, либо изменения характера гранулярного эпендиматита. В остром, но чаще в подостром и хроническом периодах страдает и субэпендимарный слой.
Эпителий местами разрушен, местами отстает от стенки желудочка. Здесь обнаруживаются пролиферативные изменения и формирующиеся или уже сформировавшиеся милиарные бугорки с типичным строением.
«Туберкулезный менингит у детей»,
Д.С.Футер Е.В.Прохорович
При участии Т.Б.Шапиро Э.М.Назарова Ф.Я.Грабовой